Wednesday, August 9, 2023

Safety and Effectiveness of Expandable Intravertebral Implant Use for Thoracolumbar Burst Fractures

Safety and Effectiveness of Expandable Intravertebral Implant Use for Thoracolumbar Burst Fractures


Clinical question

Are expandable intravertebral implants (Spinejack; Stryker, Kalamazoo, Michigan) a safe and effective treatment option for patients with thoracolumbar spine burst fractures without fracture-related neurologic deficit.

Take away point

Expandable intravertebral devices are safe and effective for improving pain, vertebral body height, fracture fragment retropulsion, and central canal diameter compromise in patients without fracture-related neurologic deficit.

Reference

Wei H, Hsu D, Katta H, Lowenthal J, Kane I, Kazmi S, Sundararajan S, Koziol J, Gupta G, Johnson S, Kang F, Moubarak I, Roychowdhury S. Safety and Effectiveness of Expandable Intravertebral Implant Use for Thoracolumbar Burst Fractures. J Vasc Interv Radiol. 2023 Aug;34(8):1409-1415.

Click here for abstract

Study design

Retrospective, observational, descriptive study

Funding Source

None


Setting

Single center






Figure

Postprocedural thoracic spine computed tomography using expandable intervertebral implantation demonstrated an improved degree of retropulsion.

Summary


Imaging studies before and after expandable intravertebral implantation and medical records of 33 patients, 11 (33.3%) men and 22 (66.6%) women with an overall mean age of 71.7 years ± 8.3, were reviewed for 60 thoracolumbar Magerl Type A3 injuries secondary to osteoporosis, trauma, or malignancy. The mean follow-up time was 299 days.

Implantation of an expandable intravertebral device resulted in a statistically significant reduction in bone fragment retropulsion (mean ± SD, 0.64 mm ± 16.4; P < .001), reduction in the extent of canal compromise (mean, 5.5%; P < .001), increased central canal diameter (mean ± SD, 0.71 mm ± 1.3; P < .001), and restoration of vertebral body height, with a mean increase of 5.0 mm (P < .001). However, the implantation did not result in a statistically significant kyphosis reduction (mean, 1.38°; P = .10). All patients except for 1 reported improvement in pain after surgery, with a mean improvement of 1.54 on a 4-point pain scale (P < .001). No clinically significant adverse events were reported.

Commentary


Expandable, intervertebral implants are a new method of treating vertebral compression fractures. This study evaluates their use in burst fractures that are not causing neurologic deficits. The authors found improvements in pain, central canal compromise, and degree of retropulsion. The authors do admit that the improvements in central canal compromise and retropulsion were small. Kyphosis was not significantly changed after the procedure. This study is a promising early step toward more rigorous comparison of intervertebral implants with vertebroplasty or kyphoplasty in similar settings.

Post author

Timothy Huber, MD
Jefferson Radiology
@IR_Huber

Tuesday, August 8, 2023

Comparison between Suprapapillary and Transpapillary Uncovered Self-Expandable Metallic Stent Placement for Perihilar Cholangiocarcinoma

Comparison between Suprapapillary and Transpapillary Uncovered Self-Expandable Metallic Stent Placement for Perihilar Cholangiocarcinoma


Clinical question

How do suprapapillary and transpapillary uncovered self-expandable metallic stent placement compare for perihilar cholangiocarcinoma?

Take away point

Suprapapillary and transpapillary stent placement procedures were similar in terms of procedural success, occlusion rate, revision rate, postprocedural AEs, and 30-day mortality.

Reference

Borges AP, Silva AV, Donato P. Comparison between Suprapapillary and Transpapillary Uncovered Self-Expandable Metallic Stent Placement for Perihilar Cholangiocarcinoma. J Vasc Interv Radiol. 2023 Aug;34(8):1400-1408.

Click here for abstract

Study design

Retrospective, observational, descriptive study

Funding Source

None

Setting

Single academic center




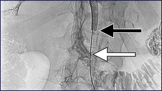
Figure

A self-expanding metallic stent was placed with its lower margin (black arrow) above the level of the sphincter (white arrow).

Summary


A single-center retrospective study of 54 patients with inoperable perihilar cholangiocarcinoma who underwent percutaneous transhepatic biliary stent placement between January 1, 2019, and August 31, 2021, was conducted. According to stent location, the patients were classified into 2 groups: suprapapillary (S) and transpapillary (T). Demographic data, Bismuth-Corlette classification, type and location of the stent, laboratory data, postprocedural AEs, procedural success, stent occlusion, reintervention rate, and mortality were compared between the groups.

Stent placement was suprapapillary in 13 (24.1%) patients and transpapillary in 41 (75.9%) patients. Mean age was higher in Group T (78 vs 70.5 years; P = .046). Stent occlusion rates were similar in the 2 groups (Group S, 23.8%; Group T, 19.5%), as were AE rates, the most common being cholangitis (Group S, 23.1%; Group T, 24.4%). There were no significant differences in revision rate (Group S, 7.7%; Group T, 12.2%) and 30-day mortality rate (Group S, 15.4%; Group T, 19.5%). Ninety-day mortality rate was statistically significantly higher in Group T (46.3% vs 15.4%; P = .046). Preprocedural bilirubin level was higher in Group T, as were postprocedural leukocyte and C-reactive protein (CRP) levels.

Commentary


This study evaluates transpapillary biliary stenting versus suprapapillary stenting for cholangiocarcinoma. Both methods has theoretical benefits, but have not been directly compared. The authors did not find significant differences in outcomes or adverse events between the two groups. However, there was a small sample size, and there were significantly more patients in the transpapillary group (41) compared to the suprapapillary group (3). Incomplete follow up data also limits the detection of adverse events. Further studies of this topic with larger sample size and more consistent follow up are needed, but this study suggests that stent position may not matter as much as once thought.

Post author

Timothy Huber, MD
Jefferson Radiology
@IR_Huber

Monday, August 7, 2023

Transjugular Intrahepatic Portosystemic Shunt and Thrombectomy (TIPS-Thrombectomy) for Symptomatic Acute Noncirrhotic Portal Vein Thrombosis

Transjugular Intrahepatic Portosystemic Shunt and Thrombectomy (TIPS-Thrombectomy) for Symptomatic Acute Noncirrhotic Portal Vein Thrombosis


Clinical question

Is transjugular intrahepatic portosystemic shunt and mechanical thrombectomy (TIPS-thrombectomy) safe and effective for symptomatic acute noncirrhotic portal vein thrombosis (NC-PVT).

Take away point

TIPS-thrombectomy is a safe and effective method for treating patients with symptomatic acute NC-PVT.

Reference

Shalvoy MR, Ahmed M, Weinstein JL, Ramalingam V, Malik MS, Ali A, Shenoy-Bhangle AS, Curry MP, Sarwar A. Transjugular Intrahepatic Portosystemic Shunt and Thrombectomy (TIPS-Thrombectomy) for Symptomatic Acute Noncirrhotic Portal Vein Thrombosis. J Vasc Interv Radiol. 2023 Aug;34(8):1373-1381.e3.

Click here for abstract

Study design

Retrospective, observational, descriptive study

Funding Source

None


Setting

Single academic center






Figure

(Left) Preprocedural coronal reconstruction showed extensive portal, splenic, and mesenteric venous thrombosis (arrow). (Right) Postprocedural coronal image at 1 year showed a well-opacified SMV, splenic vein, and portal vein without evidence of residual thrombosis.

Summary


Patients with acute NC-PVT who underwent TIPS-thrombectomy between 2014 and 2021 at a single academic medical center were retrospectively reviewed. Thirty-two patients were included (men, 56%; median age, 51 years [range, 39–62 years]). The causes for PVT included idiopathic (n = 12), prothrombotic disorders (n = 11), postsurgical sequelae (n = 6), pancreatitis (n = 2), and Budd-Chiari syndrome (n = 1). The indications for TIPS-thrombectomy included refractory abdominal pain (n = 14), intestinal venous ischemia (n = 9), ascites (n = 4), high-risk varices (n = 3), and variceal bleeding (n = 2). Variables studied included patient, disease, and procedure characteristics. Patients were monitored over the course of 1-year follow-up.

Successful recanalization of occluded portal venous vessels occurred in all 32 patients (100%). Compared with pretreatment patency, recanalization with TIPS-thrombectomy resulted in an increase in patent veins (main portal vein [28% vs 97%, P < .001], superior mesenteric vein [13% vs 94%, P < .001], and splenic vein [66% vs 91%, P < .001]). Three procedure-related adverse events occurred (Society of Interventional Radiology grade 2 moderate). Hepatic encephalopathy developed in 1 (3%) of 32 patients after TIPS placement. At 1-year follow-up, return of symptoms occurred in 3 (9%) of 32 patients: (a) ascites (n = 1), (b) variceal bleeding (n = 1), and (c) intestinal venous ischemia (n = 1). The intention-to-treat 1-year portal vein and TIPS primary and secondary patency rates were 78% (25/32) and 100% (32/32), respectively. Seven patients required additional procedures, and the 1-year mortality rate was 3% (1/32).

Commentary


In this study of TIPS-thrombectomy for symptomatic, acute, noncirrhotic portal vein thrombosis the authors report significant improvements in patency of the portal system after thrombectomy. They reports a secondary patency rate of 100% at 1 year. These results support the safety and efficacy of TIPS-thrombectomy; however, the study is limited by retrospective nature, small sample size, and short follow up. Longer term follow up, or comparison to anticoagulation alone could be promising future directions.

Post author

Timothy Huber, MD
Jefferson Radiology
@IR_Huber

Thursday, August 3, 2023

Change in Platelet Count after Transjugular Intrahepatic Portosystemic Shunt Creation: An Advancing Liver Therapeutic Approaches (ALTA) Group Study

Change in Platelet Count after Transjugular Intrahepatic Portosystemic Shunt Creation: An Advancing Liver Therapeutic Approaches (ALTA) Group Study

 

Clinical question

How does TIPS affect platelet count and recovery?

Take away point

TIPS only increased platelets for patients with a pre-procedure count less than 50,000 per microliter.

Reference

Wong RJ, Ge J, Boike J, German M, Morelli G, Spengler E, Said A, Desai A, Couri T, Paul S, Frenette C, Verna EC, Goel A, Fallon M, Thornburg B, VanWagner L, Lai JC, Kolli KP. Change in Platelet Count after Transjugular Intrahepatic Portosystemic Shunt Creation: An Advancing Liver Therapeutic Approaches (ALTA) Group Study. J Vasc Interv Radiol. 2023 Aug;34(8):1364-1371

Click here for abstract

Study design

Case control study

Funding Source

This study was funded by National Institutes of Health KL2TR001870 (to J.G.) and P30DK026743 (to J.G. and J.C.L.). The ALTA Study Group, however, is funded by an investigator-initiated grant from W.L. Gore and Associates. The Northwestern Research Electronic Data Capture is funded, in part, by the National Center for Advancing Translational Sciences of the National Institutes of Health research grant UL1TR001422 to the Northwestern University Clinical and Translational Sciences Institute. The sponsor (W.L. Gore & Associates) had no inpu into the overall design and conduct of the ALTA study.

Setting

Multicenter study





Figure

Histogram of change in platelet count at 4 months after transjugular intrahepatic portosystemic shunt (percentage).

Summary


TIPS creation is an effective intervention for ascites and variceal bleeding in patients with cirrhosis. However, research regarding the impact of TIPS creation on thrombocytopenia is limited, and results have yielded conflicting results. This study was conducted in a multicenter cohort of patients with cirrhosis who underwent TIPS creation and attempted to identify factors associated with platelet count increase after TIPS creation.

Demographic and clinical data were obtained from participating study sites and uploaded to a central study database using Research Electronic Data Capture software hosted at the organizing center. Platelet counts were evaluated at 4 months after TIPS creation to allow sufficient time for post-TIPS recovery and "recalibration".

Percentage change in platelet counts was chosen rather than absolute change because it takes into account the baseline of the patient. The top quartile for platelet count increase was isolated and assessed for patient factors associated with inclusion in this group.

601 patients with cirrhosis underwent TIPS creation at 9 U.S. hospitals from 2010 to 2015, of which 184 (15%) died within 4 months and 115 (9%) underwent transplantation within 4 months. Two hundred twenty-seven (38%) patients were women, with a median age of 57 years.

The median absolute change in platelet count from before to after TIPS was 1,000/microliter. In the subgroup of those with severe thrombocytopenia, there was a significant absolute change in platelet count. In univariable and multivariable logistic regression analyses, older age, lower pre-TIPS platelet count, and higher pre-TIPS MELD were significantly associated with being in the top quartile for platelet increase 4 months after TIPS creation.

Commentary


Previous studies have presented conflicting evidence as to whether TIPS has a positive impact on thrombocytopenia. This large multicenter study of 601 patients who underwent TIPS did not show a significant increase in platelet counts after TIPS. However, when assessing subgroups, patients with platelet counts less than 50,000/microliter prior to TIPS did have improvement in thrombocytopenia. The study suggests that certain subgroups may see a greater improvement in platelet counts following TIPS. The study does have significant limitations, including retrospective nature, lacking information on splenic embolization, and lacking information on medical treatment of thrombocytopenia. These issues could be addressed subsequent prospective studies.

Post author

Timothy Huber, MD
Jefferson Radiology
@IR_Huber

Tuesday, August 1, 2023

The Effect of Endovascular Treatment of Renal Artery Stenoses on Coexistent Aneurysms Associated with Fibromuscular Dysplasia

The Effect of Endovascular Treatment of Renal Artery Stenoses on Coexistent Aneurysms Associated with Fibromuscular Dysplasia

 

Clinical question

Is renal artery stenting safe and effective for patients with coexisting renal artery aneurysms secondary to fibromuscular dysplasia?

Take away point

Renal artery stenting is safe and effective in the setting of FMD related renal artery aneurysms, and can lead to overall regression in aneurysm size.

Reference

Chen Y, Dong H, Zou Y, Li H, Che W, Xiong H, Jiang X. The Effect of Endovascular Treatment of Renal Artery Stenoses on Coexistent Aneurysms Associated with Fibromuscular Dysplasia. J Vasc Interv Radiol. 2023 Aug;34(8):1353-1358.

click here for abstract

Study design

Single center retrospective

Funding Source

No funding

Setting

Academic center




Figure

Digital subtraction angiograms showing pretreatment (left) renal artery stenosis and aneurysm, and post-treatment (right) improvement in the aneurysm size after successful angioplasty.

Summary

Fibromuscular dysplasia (FMD) is an idiopathic, segmental, nonatherosclerotic, and noninflammatory arterial disease, which most commonly affects the renal and internal carotid arteries. Endovascular treatment for RAS and RAA in patients with FMD is limited, and the prognosis of RAA when RAS is treated remains unclear.

19 patients with coexistent RAS and RAA who underwent RAS-specific endovascular therapy were included in this study. Patients with coexistent RAS and RAA who underwent covered stent implantation or coil embolization for RAA were not included in this study. Patients who underwent endovascular treatment of the renal artery met all of the following indications: high blood pressure, angiographic evidence of 70% RAS, and a life expectancy of 2 years.

Patients were placed in the supine position, anesthetized locally with 2% lidocaine, and had baseline angiography performed using a 6-F guiding catheter. A balloon with a diameter 20% - 30% smaller than that of the reference was used on the first attempt. Procedural success of PTRA was defined as a residual stenosis of <50% in diameter after full balloon dilatation, and stent placement was performed when the blood flow was impeded by dissection.

The primary endpoints were the maximum diameter and improvement in renal artery occlusions, and the secondary endpoints were changes in blood pressure, number of antihypertensive drugs, renal function, and adverse events. Of the 19 patients, 2 had multifocal RAS, 17 had unifocal RAS, 14 had 1 RAA, 2 had 2 RAAs, and 3 had >2 RAAs. Twenty-one RASs were treated with PTRA alone, and the remaining 3 were treated with stent implantation.

The success rate of RAS-specific endovascular therapy was 100%, and the mean degree of stenosis decreased from 86.4% -11.9 to 12.6% -5.7%. The maximum diameter of all RAAs and SRAAs decreased significantly during a mean of 4.2 years, and the maximum diameter of non-SRAAs did not change. In the 19 patients with FMD, the systolic and diastolic blood pressures decreased, the number of antihypertensive medications decreased, and the serum creatinine level remained stable. The primary patency rates of PTRA and stent implantation were 89.5% and 100%, respectively.

Commentary

The authors evaluated the role of angioplasty or stenting for the treatment of renal artery stenosis with coexisting renal artery aneurysms in patients with FMD. There is limited information on this topic in the literature, and this study fills a gap in knowledge. The authors found that treating the renal artery stenoses also led to a regression in mean aneurysm size. They speculate that this is due to decreased blood pressure, although that was not directly tested. The study is limited by its single-center nature, small sample size, retrospective analysis, and long period of patient inclusion. Larger, multicenter studies would be useful to confirm these findings, and intra-arterial pressure measurements could be used to test the hypothesis that renal artery stenting leads to decreased arterial pressures within the renal artery aneurysms.

Post author

Timothy Huber, MD
Jefferson Radiology
@IR_Huber